24-8 2015 CÔN TRÙNG CẮN Dấu côn trùng cắn là gì? Các dấu côn trùng cắn là tình trạng da bị cắn phản ứng với độc tố từ các... Xem Thêm
24-8 2015 CHỨNG MẤT NGỦ KINH NIÊN (BỆNH MẤT NGỦ MÃN TÍNH) Chứng mất ngủ kinh niên xảy ra khi bệnh nhân bị mất ngủ thường xuyên và tình trạng này kéo dài hơn 1... Xem Thêm
24-8 2015 BỆNH DA LIỄU LẠ DA BỊ PHỒNG RỘP – LAUW TJOAN ENG Lauw Tjoan Eng là người đàn ông kém may mắn trên khi anh mắc một phải căn bệnh về da hiếm gặp. Toàn... Xem Thêm
24-8 2015 CHẤT SẮT Sắt là gì? Sắt là khoáng chất thiết yếu cho cuộc sống, đặc biệt là cho người lớn trong thời kỳ thai... Xem Thêm
24-8 2015 CẢNH BÁO NGUY HIỂM TIỀM ẨN TỪ CÁC BỆNH LÂY QUA ĐƯỜNG TÌNH DỤC Các bệnh lây qua đường tình dục thường mang lại hậu quả nặng nề đối với người mắc phải, thậm chí ảnh... Xem Thêm
24-8 2015 CÁCH TRỊ BỆNH GIỜI LEO Bệnh giời leo do virus varicella-zoster gây nên, đây cũng là loại virus gây nên bệnh thủy đậu. Bệnh... Xem Thêm
24-8 2015 CÁCH PHÒNG BỆNH GIỜI LEO Nếu bạn đã từng mắc bệnh giời leo hoặc thủy đậu, thì một trong những căn bệnh bạn nên quan tâm phòng... Xem Thêm
24-8 2015 BỆNH TIỂU ĐƯỜNG Bệnh tiểu đường là gì? Bệnh tiểu đường là một nhóm bệnh đặc trưng bởi lượng đường trong máu cao là... Xem Thêm
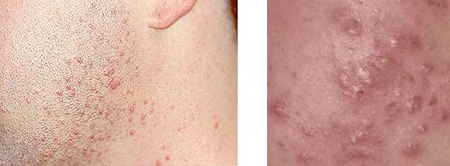
24-8 2015 MỤN Triệu chứng của mụn: Da bị dầu (nhờn), xuất hiện các nốt viêm, các mụn đầu đen, đầu trắng. Mụn... Xem Thêm
24-8 2015 CHĂM SÓC DA CỦA TRẺ SƠ SINH VÀ TRẺ EM Da của trẻ sơ sinh và trẻ em có gì đặc biệt? Sau khi chào đời, da của trẻ sơ sinh cần một thời gian... Xem Thêm