Stamford Skin Centre (SSC) là phòng khám chuyên khoa da liễu cung cấp dịch vụ thẩm mỹ da tận gốc & điều trị bệnh về da theo chuẩn quốc tế. Hotline: (08) 3925 1990
Xóa hình xăm là một thủ tục được thực hiện để cố gắng loại bỏ một hình xăm không mong muốn. Các kỹ thuật phổ biến được sử dụng để loại bỏ xăm bao gồm laser,...
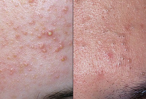
Mụn trứng cá là một tình trạng viêm da xảy ra khi các lỗ chân lông của bạn bị bít lại do dầu và các tế bào da chết. Mụn trứng cá thường xuất hiện trên mặt, cổ,...
Tiêm chất làm đầy đặn khuôn mặt là một thủ thuật thẩm mỹ ngoại trú tạm thời làm mờ các nếp nhăn. Trước khi tiêm y tá sẽ tiến hành bôi tê cục bộ vùng tiêm khoảng...
Nốt ruồi là các tế bào da tăng trưởng có màu sắc (sắc tố). Nốt ruồi có thể xuất hiện bất cứ nơi nào trên da, một mình hoặc theo nhóm. Hầu hết mọi người có một...
Tiêm Botox có tác dụng hỗ trợ nhiều hơn chứ không phải đơn giản là làm tê liệt cơ mặt để tạo ra một diện mạo trẻ trung. Nghiên cứu mới cho thấy các phương pháp...
Lông thường mọc ở nhiều chổ không mong muốn trên cơ thể. Nó thường xuất hiện ở vùng nhân trung, cằm, gò má, lưng, chân, ngón tay, bàn chân, ngón chân. Nó có thể...